Bone and Tissue Regeneration


When the damage caused by Periodontal Disease is significant, a Bone and Tissue Regeneration procedure may be necessary to save your teeth.

During this treatment, Dr. Dunn or Dr. Castro gently folds back the gum and removes the disease-causing bacteria and infection. He will then place membranes, bone grafts and tissue-stimulating proteins to help your body naturally heal and regenerate bone and tissue.

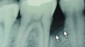
Before Regeneration

After Regeneration

Regeneration of the bone and tissue, along with a strict home care program and increased professional cleanings, will greatly increase your chances of keeping your natural teeth.

View Other Procedures